龟,乌龟,观赏龟,观赏鱼,观龟赏鱼,养鱼论坛,养龟论坛

 找回密码
 注册
查看: 8563|回复: 32

陆龟结石手术过程(有点血腥,请慎入!)

[复制链接]
发表于 2006-1-30 20:45:00 | 显示全部楼层

當腹甲四邊都切開之後,就用一種稱為撬起器的工具
把甲片撬起,再輕輕切斷連在甲片下的肌肉組織,
讓甲片完全脫離腹甲.切下的甲片還是活體組織,必須
小心處理,要用無菌鹽水保持濕潤直到再裝回去為止.

本帖子中包含更多资源

您需要 登录 才可以下载或查看,没有账号?注册

x
 楼主| 发表于 2006-1-30 20:46:00 | 显示全部楼层

再來就會看到體腔覆膜,輕輕把它剪開露出下面的器官,
切口四周的紅色的部份就是原來連住甲片的肌肉組織

本帖子中包含更多资源

您需要 登录 才可以下载或查看,没有账号?注册

x
 楼主| 发表于 2006-1-30 20:41:00 | 显示全部楼层 |阅读模式

結石在陸龜類來說,是一種比較常見的毛病.不是大毛病,但是如果嚴重的話處理起來就很麻煩,一般都需要以外科手術來摘除,風險高,後遺症也大,所以對於龜類的結石,當然是以預防重於治療最為上策. 結石有很多種,原因也很多,但一般來說都與水分不足與食物不當有關.

下面這篇文章是美國屬一屬二的加州長堤動物醫院所示範的陸龜結石摘除手術的詳細過程,對於愛龜族甚至是獸醫都很有參考的價值,站長特別把它翻譯出來供大家參考,文中的 病患是一隻沙漠地鼠陸龜(Gopherus agassizii):

原文轉載自Long Beach Animal Hostpital網站 http://www.lbah.com/reptile/cdtbladderstone.htm

 楼主| 发表于 2006-1-30 20:41:00 | 显示全部楼层

沙漠地鼠陸龜的膀胱結石摘除手術是滿有意思的外科手術.有些膀胱結石簡直是大到不行,真不知道那些 龜龜是怎麼活下來的.

徵狀

陸龜罹患膀胱結石並沒有明顯的徵狀,有些龜龜更是完全沒有徵狀.比較常見的徵狀是流鼻涕,食慾不佳以及昏睡.有些結石是龜龜因為其他毛病照X光或是檢查而意外發現的.有些結石體積巨大,可見在診斷出來的時候已經在體內存在好 多年了.得過腎結石的人就可以體會到這些患有大結石的龜龜會有什麼樣的感受.

 楼主| 发表于 2006-1-30 20:42:00 | 显示全部楼层

診斷

診斷陸龜膀胱結石的方式有兩種,輕輕前後搖動龜龜,有時候可以由後腿根部柔軟的地方觸診到結石.

要執行觸診必須要對龜龜的生理構造有所了解
而且也必須具有觸診的經驗.


本帖子中包含更多资源

您需要 登录 才可以下载或查看,没有账号?注册

x
 楼主| 发表于 2006-1-30 20:42:00 | 显示全部楼层

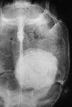
但是並非所有的結石都能經由觸診來發現,
另一個診斷方式,也是比較可靠的方式,
當然就是照X光了.雖然X光片中這顆結石很大,
不過並不罕見,有些結石甚至大到需要先擊碎
才能由腹甲的切口夾出來.

本帖子中包含更多资源

您需要 登录 才可以下载或查看,没有账号?注册

x
 楼主| 发表于 2006-1-30 20:43:00 | 显示全部楼层

手術程序

陸龜膀胱結石一般的治療方式就是外科手術.再這次手術中我們就在龜龜的腹甲上開個切口,然後把結石從膀胱夾出來.

在手術之前病龜先做最好準備,讓麻醉的風險降到最低.有些病龜在手術之前和手術之後我們都會插餵食管補充水份和營養劑.有些病龜我們則是插靜脈導管以維持手術中的血壓 的穩定.


這隻龜的頸靜脈插了靜脈導管.我們插這條靜脈主要是
因為它比較粗,比較容易插管,也比較可以容納我們
必須注射的液體劑量.

本帖子中包含更多资源

您需要 登录 才可以下载或查看,没有账号?注册

x
 楼主| 发表于 2006-1-30 20:44:00 | 显示全部楼层

龜龜在麻醉後,我們就把腹甲徹底清理乾淨,
可以用軟毛刷多刷幾次.黑框的部份就是等會
要切開找到膀胱的部份

本帖子中包含更多资源

您需要 登录 才可以下载或查看,没有账号?注册

x
 楼主| 发表于 2006-1-30 20:44:00 | 显示全部楼层

預防感染對於任何手術一樣都是最重要的步驟.
我們使用的披覆技巧可以使感染的機率降到最低.
在這次手術中防止發炎更是重要,因為切開的腹甲
在封回去之後再發炎潰爛就很難發覺了.

本帖子中包含更多资源

您需要 登录 才可以下载或查看,没有账号?注册

x
 楼主| 发表于 2006-1-30 20:44:00 | 显示全部楼层

手術小組的其他人員也要同時準備,這些助理都是校外
實習醫生,他們會協助醫師進行液體的沖洗與吸淨
以及麻醉.

本帖子中包含更多资源

您需要 登录 才可以下载或查看,没有账号?注册

x
 楼主| 发表于 2006-1-30 20:45:00 | 显示全部楼层

Ridgeway醫師戴上安全眼鏡進行切殼,以免被
鑽頭帶出的碎片傷到.

本帖子中包含更多资源

您需要 登录 才可以下载或查看,没有账号?注册

x
 楼主| 发表于 2006-1-30 20:45:00 | 显示全部楼层

鋸開腹甲是用消毒過的電鋸,由於鋸片高速旋轉會產生高溫,所以必須持續對切口噴灑無菌水以避免燙傷

本帖子中包含更多资源

您需要 登录 才可以下载或查看,没有账号?注册

x
 楼主| 发表于 2006-1-30 20:46:00 | 显示全部楼层

體腔覆膜切開後就可以輕易看到裡面的內臟.
圖中看到的是腸道.

本帖子中包含更多资源

您需要 登录 才可以下载或查看,没有账号?注册

x
 楼主| 发表于 2006-1-30 20:46:00 | 显示全部楼层

小心的把膀胱由腹甲切口中提出來,Ridgeway醫師
已經在膀胱上做了一個切口,露出了結石

本帖子中包含更多资源

您需要 登录 才可以下载或查看,没有账号?注册

x
 楼主| 发表于 2006-1-30 20:47:00 | 显示全部楼层

這就是整個挖出來的結石

本帖子中包含更多资源

您需要 登录 才可以下载或查看,没有账号?注册

x
 楼主| 发表于 2006-1-30 20:47:00 | 显示全部楼层

膀胱中通常還會積有一些淤渣,如果沒有一起清除,
就會減緩復原的速度,而且結石容易再復發.這一團
淤渣是用一種稱為角匙的工具挖出.這種高級工具
是在我們的實驗室中用一般的湯匙拗彎做成的.

本帖子中包含更多资源

您需要 登录 才可以下载或查看,没有账号?注册

x
 楼主| 发表于 2006-1-30 20:47:00 | 显示全部楼层

較小的淤渣就在膀胱清洗完後連水一起吸掉,通常
要用無菌鹽水清洗幾次才能洗乾淨,膀胱一定要
完全清洗乾淨後才能縫合.

本帖子中包含更多资源

您需要 登录 才可以下载或查看,没有账号?注册

x
 楼主| 发表于 2006-1-30 20:47:00 | 显示全部楼层

用於縫合膀胱切口的是一種特殊的縫合材料.
很堅韌又不會引起排斥,而且在幾個月後
就可以完全被吸收

本帖子中包含更多资源

您需要 登录 才可以下载或查看,没有账号?注册

x
 楼主| 发表于 2006-1-30 20:48:00 | 显示全部楼层

體腔一樣要用無菌溫鹽水徹底清洗,水份要完全吸乾,
這個程序有助於防止發炎並加速癒合.萬一把感染
封在體內那後果就不堪設想了.

本帖子中包含更多资源

您需要 登录 才可以下载或查看,没有账号?注册

x
 楼主| 发表于 2006-1-30 20:48:00 | 显示全部楼层

再來就是縫合體腔覆膜的切口,當然也是用縫合膀胱一樣
的線材,連接甲片的肌肉組織會自行逐步再連住甲片

本帖子中包含更多资源

您需要 登录 才可以下载或查看,没有账号?注册

x
您需要登录后才可以回帖 登录 | 注册

本版积分规则

拒绝任何人以任何形式在观龟赏鱼论坛发表与中华人民共和国法律相抵触的言论!本站内容均为会员发表,并不代表观龟赏鱼论坛立场

小黑屋|手机版|Archiver|观龟赏鱼,龟龟救助,龟环境布置,龟饲养技术 ( 闽ICP备12006998号 )

GMT+8, 2026-3-9 10:38 , Processed in 0.468744 second(s), 18 queries .

Powered by Discuz! X3.4

Copyright © 2001-2021, Tencent Cloud.

快速回复 返回顶部 返回列表